This article, published in Skeletal Radiology, we investigated feasibility of high resolution conventional MR, and quantitative novel MR, and biomechanical techniques to characterize pathology of h ...
September 01
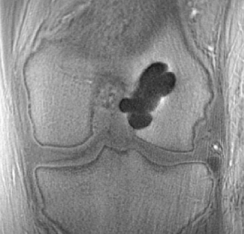
Publication on Novel MRI of the Meniscus
In this original research study (published on J Comput Assist Tomogr 2015;39: 637–642), we investigated sensitivity of novel UTE T1rho sequence to degeneration of human menisci, simulated usi ...
read more
read more
February 01
CTIPM construction
We have a new home! Construction for CTIPM (Center for Translational Imaging and Precision Medicine), which houses the latest General Electric 3.0-Tesla MR750, is nearly finished.
...read more
read more
January 03
Publication on flexor tendon of the Toes
This article, published in Skeletal Radiology, characterizes in detail anatomic structures of the pulleys of the flexor tendons of human toes.
...read more
read more
load more







